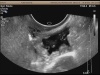
Ultrasound video using ABBI clearly shows saline / air bubbles exiting fimbria into the cul-de-sac.
CooperSurgical has acquired ZyMลt Fertility, a subsidiary of DxNow, Inc. Read the full announcement here.

Ultrasound video using ABBI clearly shows saline / air bubbles exiting fimbria into the cul-de-sac.

We’d love to hear from you. How can we help?